Diş implantı, diş eksikliği durumunda çene kemiği içerisine yerleştirilip estetik ve fonksiyonun geri kazanılmasına olanak verir.
Şimdiye kadar en yaygın kullanılan implantlar titanyum malzemesinden üretiliyordu. Titanyum halen ülkemizde ve dünyada en yaygın kullanılan dental implant malzemesidir ve allerji riski çok düşük bir metaldir. Ancak son yıllarda giderek daha fazla bilimsel çalışma, titanyumun korozyona uğradığını ve parçalarının çevre dokulara ve hatta vücudun başka yerlerine bile yayılabildiğini göstermeye başladı. Bu durum özellikle de genetik yatkınlığı olanlarda titanyumun vücut tarafından yabancı bir cisim olarak tespit edilmesine ve vücutta iltihabi reaksiyonların başlamasına sebep olabiliyor.
Bizim implantlarda ya da kaplamalarda kullandığımız ve dilimize maalesef “zirkonyum” olarak yerleşen malzeme aslında “zirkonya”dır. Zirkonya dediğimiz madde, zirkonyumun oksit kristalidir (ZrO2) ve metal değildir. Zirkonyumla fiziksel özellikleri çok farklıdır. Zirkonya ısı ve elektriği iletmez, korozyona uğramaz, beyaz renktedir, serttir, manyetik değildir.
Kliniğimizde Neden Seramik İmplant Kullanıyoruz?
Yumuşak doku dostu ve daha az plak
Bakteri plağı tutulumu, seramik implantlarda son derece azdır. Bu sayede, implant çevresindeki dokuda inflamasyon gelişme riskini azaltır.
Biyouyumlu
Diş eti, zirkonya implantların çevresini doğal olarak sarma eğilimindedir ve titanyum implantlarda gerekebilen diş eti ekleme işlemlerine zirkonya implantlarda genelde gerek olmaz. Seramik implantlar, insan dokularıyla uyumluluk gösteren zirkonyadan yapılmıştır. Hipoalerjeniktir ve metal implantlarla oluşabilecek alerjik reaksiyon ve iltihap riskini önemli ölçüde azaltır.
Operasyon Kolaylığı
Yerleştirildiğinde kendi dişinizmiş gibi aşındırılıp ölçü alma işlemleri yapılabilir. Titanyumdaki karmaşık ölçü ve laboratuvar aşamalarına gerek olmaz. Minimum diş hazırlığı gerektirir. Bu da doğal diş yapısının daha iyi korunmasını sağlar.
Estetik
Titanyum ve seramik implantlar arasındaki belki de en belirgin ama basit fark renktir. Beyaz bir malzeme olarak seramiğin estetik özellikleri, özellikle ince veya hassas yumuşak doku biyotipine sahip hastalarda veya yumuşak doku çekilmesi vakalarında kendini gösterir. Zirkonya implantlar ayrıca titanyuma göre daha az mukozal renk değişikliğine yol açar.
İletken Değil ve Korozyona Dirençli
Seramik, kimyasal korozyona karşı dirençli olan ve elektrik veya ısıyı iletmeyen biyouyumlu bir malzemedir. İmplantın yüzeyinde bakteri üreme riski daha azdır; bu da daha sağlıklı diş etlerine katkıda bulunur. Biyolojik olarak durağan bir malzeme olduğundan, herhangi bir kimyasal reaksiyonu tetiklemez, vücutta başka bir yere geçmez ya da optimal ağız sağlığının korunmasını etkilemez.
Dayanıklı
Zirkonya son derece güçlü ve dayanıklı bir malzemedir. Yontulmaya, çatlamaya ve aşınmaya karşı dayanıklıdır, bu sayede diş restorasyonları için son derece uygundur.
Leke Direnci
Zirkonya, diğer bazı diş malzemelerinin aksine lekelenmeye ve renk değişimine karşı oldukça dirençlidir. Bu, yapay dişin doğal görünümünün uzun zaman korunmasına yardımcı olabilir.
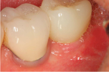
Fotoğrafın solunda titanyum, sağındaysa seramik implant kullanılarak yapılmış dişleri görmektesiniz. Diş etinin yapısı ve rengindeki farkı gözlemlemek mümkün.
Kliniğimizdeki Seramik İmplant Aşamalarımız

Boyutlu Tomografi ve Diğer Görüntülerin İncelenmesi

Öncelikle hastalarımızdan yakın zamanda çekilmiş tomografi, panoramik röntgen ve cep telefonunun arka kamerası ile bir yakınları tarafından çekilmiş, diş etlerini de inceleyebileceğimiz fotoğrafları paylaşmalarını rica ediyoruz. Hastalarımızdan paylaşacağımız “Hasta Anamnez Formu”nu doldurup ihtiyaç duyulan tedavi taleplerini ve beklentilerini iletmelerini bekliyoruz.

Ön Tedavi Planının Hazırlanması

Hekimlerimiz gönderdiğiniz medikal verileri inceleyerek operasyon için kemik yapısının uygunluğu, greft, sinüs lifting veya farklı bir tedavi gerekip gerekmeyeceğini genel sağlık durumunuzu da göz önünde bulundurarak detaylı olarak inceliyor. İmplant operasyonu için gerekli tüm unsurları göz önüne alarak ön tedavi planınızı hazırlıyoruz. Bu aşamada tedavinin yaklaşık olarak ne kadar sürede tamamlanacağı ve tahmini toplam maliyeti de sizlerle paylaşıyoruz. Tedaviyi onaylamanız durumunda en uygun randevu tarihlerini sizinle paylaşıyoruz.

Fiziki Muayene

İmplant operasyonu öncesinde fiziki muayenenizi yapıp planlamaları ve tedavi beklentileriniz üzerinden son değerlendirmeleri yapıyoruz.

İmplant cerrahi rehber(guide) hazırlanması için profesyonel ağız içi fotoğraf çekimlerinizi yapıp, dijital 3 boyutlu taramalarınızı alıyoruz.

Talep ederseniz bağışıklık sisteminizi güçlendirmek için IV vitamin C veya IV Ozon takviyeleri için operasyon öncesi ve/veya sonrası birlikte çalıştığımız medikal doktorumuza da yönlendiriyoruz.

Dijital Destekli Cerrahi Rehber Hazırlanması

Tedavinin başarısını artırmak ve süreci sizin için daha rahat hale getirmek için “cerrahi rehber” adı verilen bir teknoloji kullanıyoruz.

Cerrahi rehber, çene yapınıza ve ihtiyaçlarınıza özel olarak tasarlanan bir kılavuzdur. Bu rehber sayesinde, implantın yerleştirileceği alanı milimetrik hassasiyetle belirleyebiliyoruz.

Sizden aldığımız tarama ve tomografiniz eşleştirerek çene yapınıza uygun bir cerrahi rehber tasarlıyoruz. Bu süreci tamamen dijital olarak hekimlerimiz ve teknisyenlerimiz planlıyor ve 3 boyutlu yazıcılarla kliniğimizde üretiyoruz.

Cerrahi rehberi hekimlerimiz, operasyon sırasında kullanarak implantların en doğru açı ve pozisyonda yerleştirilmesini sağlıyorlar.

Operasyon Günü

Daha önceden yaptığımız planlamalara göre operasyon günü öncelikle kan alınıp operasyon sırasında kullanacağımız PRF’i hazırlıyoruz. İmplant yerleştirme operasyonlarımızı hazırladığımız cerrahi rehber ile minimal invaziv yöntemlerle gerçekleştiriyoruz. Cerrahi işlemler esnasında dental ozondan yararlanarak operasyon alanının antisepsisini sağlıyoruz.

Operasyondan birkaç gün sonra her şeyin yolunda olduğunu kontrol etmek için hastalarımızı kontrol randevusuna çağırıyoruz.

Daimi Seramik Kaplama Yapımı

Kalıcı seramik kaplamaların yerleşimi için, implant yerleştirildikten 4 ila 6 ay sonra (osteointegrasyon süresi) iki veya üç seansa daha ihtiyacımız oluyor.

İlk seansta implant çevresi ve diş eti hazırlanıp dijital ölçüyü laboratuvara iletiyoruz. 5-7 gün içerisinde kaplamalar laboratuvar tarafından üretilip bize gönderiliyor. Bir sonraki seansta kaplamanın yapıştırma işlemini yapıyoruz. Kaplamada herhangi bir değişiklik gerektiğinde ilerleyen günler için bir randevu daha oluşturmamız gerekebiliyor.

İletişim Formu
Klinik uygulamalarımıza ilişkin detaylara yönelik bilgi talepleriniz bu alanda değerlendirilebilir.
Ad Soyad *
Ülke* *
Telefon Numaranız*
E-mail Adresi *
Mesajınız *
Lütfen bekleyin
Sık Sorulan Sorular
Seramik implant nedir ve titanyum implanttan farkı nedir?

Seramik implant, zirkonya (zirkonyum oksit) malzemesinden üretilen biyouyumlu bir diş implantıdır. Titanyum implantlardan en önemli farkları; beyaz renkte olması, korozyona uğramaması, elektrik ve ısı iletmemesi, daha az bakteri plağı tutması ve alerjik reaksiyon riskinin daha düşük olmasıdır.

Seramik implantlar ne kadar dayanıklıdır?

Zirkonya son derece güçlü ve dayanıklı bir malzemedir. Yontulmaya, çatlamaya ve aşınmaya karşı dayanıklıdır. Uygun bakım ve düzenli kontrollerle uzun yıllar kullanılabilir.

Seramik implant operasyonu ne kadar sürer?

Operasyon süresi, implant sayısına ve kemik yapısına bağlı olarak değişir. Genellikle tek implant için 30-60 dakika arasında sürmektedir. Cerrahi rehber kullanımı sayesinde işlem daha hızlı ve hassas bir şekilde tamamlanır.

Seramik implantlar herkese uygulanabilir mi?

Seramik implantlar, yeterli kemik yapısına sahip olan ve genel sağlık durumu uygun olan hastalara uygulanabilir. Özellikle metal alerjisi olan, estetik kaygıları yüksek olan ve biyolojik diş hekimliği prensiplerini benimseyen hastalar için idealdir.

İyileşme süreci nasıldır?

Seramik implantların kemikle kaynaşması (osteointegrasyon) genellikle 4-6 ay sürer. Bu süreçte düzenli kontroller yapılır ve geçici protez kullanılabilir. İyileşme süreci titanyum implantlara benzerdir, ancak yumuşak doku iyileşmesi genellikle daha iyi olmaktadır.

Seramik implantların bakımı nasıl yapılır?

Seramik implantların bakımı doğal dişlerin bakımına benzerdir. Düzenli fırçalama, diş ipi kullanımı ve düzenli diş hekimi kontrolleri yeterlidir. Bakteri plağı tutulumu daha az olduğu için bakımı daha kolaydır.

Seramik implantların maliyeti nedir?

Seramik implantların maliyeti, titanyum implantlara göre genellikle daha yüksektir. Ancak maliyet, implant sayısı, ek tedaviler (greft, sinüs lifting vb.) ve kullanılan kaplama malzemesine göre değişiklik gösterebilir. Detaylı bilgi için kliniğimizle iletişime geçebilirsiniz.